Ti trovi in: Specializzazioni > Implantologia

Implantologia dentale

Cos'è, durata, effetti, interventi e casi di studio.

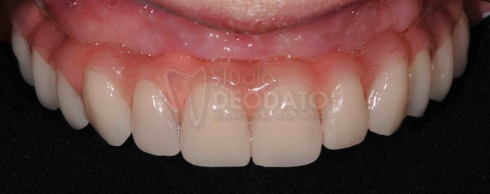
L'implantologia è una branca della odontoiatria il cui obiettivo è la sostituzione degli elementi dentari persi con delle "radici artificiali" in titanio chiamate "impianti dentari endossei" sui quali vengono posizionate delle protesi dentarie preferibilmente fisse.

Analogia tra Dente Naturale ed Impianto Dentale
Dente naturale e impianto dentale

Cos'è l'implantologia dentale

L'implantologia dentale consiste nell'inserimento nell'osso mascellare o mandibolare (privo di uno o più denti naturali) di pilastri artificiali che, una volta integrati nell'osso stesso, potranno supportare uno o più denti artificiali idonei a svolgere appieno la loro funzione.

L'implantologia dentale dei nostri giorni corona il sogno comune dei dentisti e dei pazienti: ripristinare i denti perduti in modo pressochè analogo a quello naturale, senza più ricorrere a fastidiose protesi rimovibili (cosiddette protesi mobili, conosciute come dentiere o scheletrati) e a protesi fissate ai denti vicini a quelli persi con parziale demolizione (monconizzazione) di questi ultimi ad uso di pilastri (i cosiddetti ponti), ormai considerate vecchie tecniche della odontoiatria.

Applicazioni cliniche

Monoedentulia (quando manca un solo dente)

Caso 1: situazione iniziale

Caso 2: situazione iniziale

Caso 3: situazione iniziale

Caso 1: fase 2

Caso 2: fase 2

Caso 3: fase 2

Caso 1: risultato

Caso 2: risultato

Caso 3: risultato

Edentulia parziale (quando manca più di un dente)

Caso 1: situazione iniziale

Caso 2: situazione iniziale

Caso 3: situazione iniziale

Caso 1: fase2

Caso 2: fase2

Caso 3: fase2

Caso 1: risultato

Caso 2: risultato

Caso 3: risultato

Edentulia totale (quando mancano tutti i denti)

Caso 1: situazione iniziale

Caso 2: situazione iniziale

Caso 3: situazione iniziale

Caso 1: fase 2

Caso 2: fase 2

Caso 3: fase 2

Caso 1: risultato

Caso 2: risultato

Caso 3: risultato

Gli impianti post estrattivi

Per poter introdurre l’argomento dell’implantologia postestrattiva è necessario inizialmente spiegare cos'è l’implantologia tradizionale.

Le malattie dei denti come fratture, carie profonde, malattie parodontali, etc. portano inevitabilmente con il tempo alla necessità di estrazione dei denti malati.

La perdita dei denti o "edentulia" è una malattia molto frequente che consiste nell’aver perso, per varie cause, uno o più denti durante la vita. La perdita dei denti non deve essere quindi considerata come un fenomeno naturale e fisiologico, infatti se non si interviene immediatamente con il ripristino della corretta dentatura e occlusione possono insorgere diverse patologie che possono interessare sia la cavità orale che altri apparati dell’organismo.

L’implantologia è quindi quella branca dell’odontoiatria il cui obiettivo è la terapia delle edentulie attraverso l’inserimento, nelle ossa mascellari, di radici dentarie artificiali detti "IMPIANTI" ENDOOSSEI, sui quali vengono poi cementate od avvitate protesi dentarie.

L’implantologia postestrattiva si prefigge lo stesso scopo, con la particolarità che il medico dentista inserisce l’impianto endoosseo dopo l’estrazione del dente malato.

Come funzionano gli impianti post estrattivi

In seguito alla perdita dei denti si verifica nella sede interessata, inevitabilmente, un riassorbimento delle ossa mascellari e durante il primo anno dopo la perdita del dente è di circa il 50% dello spessore iniziale dell’osso; addirittura i due terzi di questo riassorbimento sono concentrati nei primi 3 mesi dopo la perdita del dente, interessando, in particolare, la parte esterna della cresta ossea.

In passato l’approccio tradizionale prevedeva l’attesa di 6-12 mesi dal momento dell’estrazione del dente prima all’inserimento di un impianto endosseo. Ricerche nel campo odontoiatrico hanno dimostrato che per ridurre al minimo questa perdita di osso, è consigliabile inserire gli impianti subito dopo l'estrazione dei denti, proprio come suggerisce la metodica dell’implantologia postestrattiva.

Vantaggi per i pazienti

I vantaggi per il paziente sono fondamentalmente tre:

  • Il primo è quello di preservare l’osso dal riassorbimento;
  • Il secondo è un minore trauma per l’osso e la gengiva, dato che l’impianto è inserito nell’alveolo, o più semplicemente nel "buco" lasciato dal dente estratto;
  • Terzo vantaggio è la riduzione della durata totale del trattamento, infatti non incidendo e non scollando le gengive, queste guariscono in minor tempo e posizionando immediatamente l’impianto, questo viene incorporato prima dalle ossa mascellari del paziente, riducendo il tempo globale della terapia.

Quali pazienti possono usufruire di questa nuova metodica?

Come in tutte le branche della Medicina, prima di poter decidere se un paziente possa essere sottoposto o meno ad un trattamento implantare, è fondamentale effettuare un’approfondita visita odontoiatrica che comprenda un’accurata anamnesi e un adeguato esame obiettivo. In un secondo tempo aiutarsi sempre con esami radiografici per escludere la presenza di controindicazioni al trattamento implantare; ad ogni modo i pazienti che possono essere trattati con questo protocollo sono molti.

Presupposto essenziale affinché il paziente possa essere sottoposto all’implantologia postestrattiva in unica fase e senza scollare le gengive è che ci sia integrità delle pareti ossee dell’alveolo estrattivo.

Per l’implantologia postestrattiva valgono le controindicazioni assolute che esistono anche per l’implantoprotesi convenzionale. La decisione finale comunque spetta sempre al medico dentista.

Caso Clinico di impianto post estrattivo

Implantoprotesi a carico immediato

Prima di descrivere la metodica del "carico immediato" è necessario spiegare in cosa consiste la terapia implantoprotesica.

L'implantoprotesi è la branca odontoiatrica il cui scopo è la terapia delle edentulie (cioè della perdita/assenza dei denti), sia totali che parziali (assenza di tutti i denti/assenza di alcuni denti), mediante l'inserimento nelle ossa mascellari di radici artificiali chiamate "impianti" endoossei, sui quali vengono poi inseriti denti artificiali, preferibilmente fissi.

A differenza del trattamento implantoprotesico convenzionale, in cui in seguito all'inserimento dell'impianto nell'osso bisogna attendere un periodo di tempo più o meno lungo per l'inserimento di una protesi provvisoria (dai 4 ai 6 mesi), moderne filosofie permettono il posizionamento immediato della protesi provvisoria (protesi fissa entro 24-48 ore dall'intervento).

L'immediato inserimento della protesi provvisoria permette al paziente di ottenere immediatamente una funzione estetica e fonetica, senza il disagio psicologico della mancanza di uno o più denti.

Questa tecnica, chiamata implantologia a carico immediato, consente il ripristino immediato di uno o più denti con grande comfort per il paziente che può continuare a condurre la sua normale vita immediatamente dopo l'intervento, con ridottissimo disagio per la mancanza del dente naturale.

La filosofia del carico immediato inoltre elimina la scomodità delle protesi mobili ed rende inutile il sacrificio di sostanza dentale sana, come avviene per esempio nel caso della sostituzione dei denti mancanti con ponti che poggiano sui denti vicini.

Inoltre se l'intervento implantologico viene pianificato con la tecnica trans mucosa associata al carico immediato, il trattamento è veloce ed indolore; dopo l'intervento il dolore è limitato e può essere controllato comunque con farmaci antidolorifici.

L'implantologia a carico immediato è una metodica sicura che interessa esclusivamente la parte di osso in cui viene inserito dell'impianto, senza fastidi ai denti o alle gengive adiacenti all'impianto.

Così in poche settimane, con la guarigione dell'osso, l'impianto e la protesi provvisoria immediata restituiscono al paziente la sensazione di mangiare con i propri denti. Questo avviene perché l'impianto in titanio biocompatibile viene perfettamente inglobato all'interno dell'osso (osteointegrazione).

La filosofia del carico immediato permette tutti questi benefici perché l'impianto inserito nell'osso, raggiunge un elevato contatto con l'osso stesso.

Questo elevato contatto tra osso ed impianto dà grande stabilità sia all'impianto (stabilità primaria) che alla protesi provvisoria fissa che viene immediatamente inserita.

La metodica del carico immediato offre quindi tutti questi vantaggi:

  • riduce il disagio psicologico per la perdita dei denti,
  • migliora l'estetica,
  • riduce l'atrofia ossea conseguente alla perdita dei denti,
  • elimina la scomodità delle protesi mobili,
  • riduce i tempi di trattamento, tutto ciò mantenendo la percentuale di successo del protocollo tradizionale.

Quali pazienti possono utilizzare il carico immediato?

 

Possono essere trattati con il carico immediato tutti i pazienti affetti da edentulia sia totale che parziale ed i pazienti che necessitano di avulsioni dentarie per diversi motivi.

Però prima di poter decidere se un paziente possa essere sottoposto o meno ad un trattamento implantare è necessario effettuare un'accurata anamnesi, un adeguato esame obiettivo ed aiutarsi sempre con esami radiografici aggiornati e moderni per escludere la presenza di controindicazioni al trattamento implantare.

Le controindicazioni assolute valide per l'implantoprotesi convenzionale sono le stesse per l'implantologia a carico immediato.

I pazienti che traggono i maggiori vantaggi dalla metodica del carico immediato sono in particolare i pazienti affetti da edentulia dei settori anteriori ed antero-laterali (perdita o mancanza di denti quali incisivi, canini e/o premolari) sia nell'arcata superiore che inferiore. Inoltre è utilissima per pazienti giovani che vogliono continuare a condurre una normale vita di relazione e professionale o per pazienti che hanno elevate esigenze estetiche, pazienti portatori di protesi rimovibili (dentiere) mal tollerate.

É possibile eseguire il carico immediato anche in quei pazienti giovani e meno giovani che stanno per perdere i denti per condizioni quali "piorrea" (malattia dell'osso e delle gengive) o per carie e che vogliono continuare a mantenere un gradevole aspetto estetico, una buona funzione masticatoria e che, soprattutto, non vogliono essere schiavi della protesi mobile.

Requisiti essenziali per l'implantologia a carico immediato sono una discreta qualità ossea, un'adeguata quantità di osso, la presenza di discreta quantità di gengiva aderente. La decisione finale spetta comunque sempre al dentista.

Esempio clinico di carico immediato

Implantoprotesica "All-on-Four"

La tecnica di implantologia chiamata "All on four" è un passo avanti rispetto alle tecniche usate in precedenza per la terapia delle edentulie totali (pazienti portatori di dentiere). Ma quali sono le novità introdotte dalla "All on four" rispetto al passato?

Una su tutte, la possibilità di creare protesi che possano sorreggersi su soli quattro impianti, proprio come il nome All on Four ("tutto su quattro" in italiano) suggerisce. Con le metodologie precedenti c'era bisogno di forare in più punti l'osso mascellare o mandibolare, in corrispondenza dei denti da sostituire. Ne deriva che, grazie a questa nuova tecnica, gli interventi di implantologia dentale risultino decisamente più facili e veloci da realizzare.

Schema di trattamento implantoprotesico "All on Four"

Il dentista infatti, mediante una semplice dima, non deve far altro che effettuare quattro fori, all'interno dei fori verranno poi inseriti gli impianti dentali in titanio, basi su cui poi avvitare le protesi fisse. Grazie a questo nuovo protocollo clinico, i pazienti vedono superare in breve tempo problemi anche molto gravi di edentulismo, come per esempio l'edentulismo totale, ovvero la perdita completa di tutta la dentatura.

La tecnica di Implantologia dentale "All on four" praticata anche nel nostro studio dentistico di Bari, ha decisamente decretato un grosso passo avanti della Medicina Implantologica, che punta sempre di più ad un miglioramento delle metodiche cliniche proposte.

La tecnica All on Four diventa ancora più vincente se è associata al protocollo clinico della Implantoprotesi Computer Assistita.

Vantaggi della tecnica All on four

  • Solo 4 impianti per una riabilitazione di un'arcata dentaria completa (12 elementi), di cui i due impianti posteriori inclinati di 30°;
  • Evitare le lunghe estensioni (cantilever) nei settori posteriori;
  • Possibilità di effettuare il carico immediato (da subito protesi fissa provvisoria in acrilico);
  • Nel mascellare superiore (mascella) gli impianti posteriori inclinati servono a:
    • evitare interventi di rigenerazione ossea dei seni mascellari (es. grande rialzo del seno mascellare);
    • inserendosi più apicalmente e più anteriormente, sfruttano in questa sede la presenza di osso di migliore qualità;
    • Possibilità di inserire impianti di lunghezza maggiore;
  • Nel mascellare inferiore (mandibola) gli impianti posteriori inclinati servono a:
    • evitare di inserire impianti in zona posteriore dove frequentemente non vi è buona quantità di osso e dove vi è la presenza del canale mandibolare all’interno del quale vi è il nervo alveolare inferiore;
    • inserendosi più apicalmente e più anteriormente sfruttano la presenza in questa sede di osso di buona qualità;
    • possibilità di inserire impianti di lunghezza maggiore.

Caso clinico:

"All on Four" mandibolare e mascellare con tecnica Computer Assistita in paziente portatore di due protesi mobili superiore ed inferiore.

La Tomografia Computerizzata Cone Beam (CBTC)

La diagnostica attraverso indagini radiologiche in odontoiatria è fondamentale per fare una corretta diagnosi e per effettuare un corretto piano di trattamento.

Nella moderna terapia implantoprotesica l’esame radiologico è fondamentale perché è l’unica indagine che permette di studiare bene le ossa mascellari del paziente per inserire in maniera corretta gli impianti dentari.

I moderni protocolli implantologici, compresa la tecnologia computer assistita, prevedono che il paziente, dopo esami di primo livello come ad esempio una Rx-OPT, esegua un esame radiologico che permetta di studiare tridimensionalmente l’anatomia ossea della bocca del paziente.

Fino agli anni ’90 l’unico esame che permetteva di effettuare questo tipo di studio tridimensionale era la Tomografia Assiale Computerizzata (T.A.C.). Questo esame però, sebbene utile, sottoponeva il paziente ad una dose di radiazioni elevatissima che al giorno d’oggi non è più giustificata.

Infatti dal ’98 è stata inventata una nuovo tecnologia definita T.C. Cone Beam (CBTC) che ha ridotto moltissimo l’esposizione alle radiazioni, permettendo oltretutto una elevata risoluzione tridimensionale delle immagini (qualità ottima delle immagini).

Nell’esame radiologico tramite Tomografia Computerizzata Cone Beam di ultima generazione, il paziente può essere comodamente seduto o in piedi in apparecchiature moderne e di piccole dimensioni, eliminando così le sensazioni di paura degli spazi piccoli (claustrofobia) come accade ad esempio col la TAC convenzionale.

L’esame consiste in un’unica scansione (rotazione dell’apparecchiatura), ha una durata in media di 30-40 secondi ed un dosaggio variabile che diminuisce di molto l’esposizione alle radiazioni.

Infatti rispetto all’esame T.A.C. convenzionale di entrambi i mascellari del paziente, che ha una dose di radiazioni elevata (in media di 0.31 mSv), la TC Cone Beam ha un dosaggio molto ridotto (in media di 0.05 mSv). Quindi la TC Cone Beam ha in media un’esposizione alle radiazioni X inferiore di 6 volte rispetto alla T.A.C. convenzionale.

Inoltre da un unico esame Cone Beam si possono ricavare tutte le radiografie necessarie in odontoiatria (OPT ed anche esami per ortodonzia) per studiare l’anatomia delle ossa mascellari del paziente. Oltre a ciò tramite l’esame Cone Beam si possono visualizzare le strutture nervose (nervo alveolare inferiore), le vie aeree ed i seni paranasali.

Un'altra caratteristica dell’esame Cone Beam è la possibilità di ottenere la ricostruzione di entrambe le arcate mascellari, superiore ed inferiore, con un’unica scansione, senza esami aggiuntivi e costi ulteriori.

Oggi l’esame T.C. Cone Beam rappresenta quindi il top degli esami radiologici in odontoiatria essendo un esame completo, dal costo contenuto e rapido nell’esecuzione.

T.A.C. convenzionale di vecchia generazione

TC Cone Beam di ultima generazione esame seduto

TC Cone Beam di ultima generazione esame in piedi in uso presso lo studio Deodato

Bibliografia

Dentisti esperti in Implantologia dentale

Il dott. Enrico Deodato di Bari è uno dei maggiori esperti in Italia di implantologia dentale.

Per appuntamenti visita la pagina dei Contatti.

inizio pagina