Ti trovi in: Specializzazioni > Conservativa ed Endodonzia

Odontoiatria Conservativa ed Endodonzia

Che cos'è l'Odontoiatria Conservativa?

L'odontoiatria conservativa è una branca dell'Odontoiatria che si occupa principalmente della cura della carie dentale. La sua finalità, come il nome stesso suggerisce, è quella di mantenere (conservare) in bocca i denti colpiti dalla carie, fratture ect, eliminando dapprima il tessuto cariato per poi ripristinare forma, funzione e, grazie alle moderne tecniche, anche l'estetica originale degli elementi dentari.

Per capire meglio le potenzialità di questa disciplina, è utile conoscere le basi dell'anatomia del dente.

Immagine schematica dell’anatomia di un dente

Immagine di ampia lesione cariosa

Che cos'è la Carie Dentale?

Il termine carie deriva dal latino "caries", che significa "cavità vuota". Si tratta di una malattia infettiva che colpisce i tessuti duri del dente (smalto, dentina e cemento) creando dei veri e propri "buchi vuoti".

Alcuni dei batteri normalmente presenti nella nostra cavità orale creano queste "cavità" nei denti, tuttavia per poterlo fare hanno bisogno di alimenti che contengano elevate quantità di zuccheri. Grazie agli zuccheri, infatti, possono riprodursi a dismisura e, così facendo, creano acidi che, a lungo andare, bucano il dente.

Se la carie viene trattata in tempo, recuperare il dente è facile e veloce.

Qualora invece la carie venga trascurata ed i batteri arrivino al centro del dente ove si trova la polpa, per recuperare il dente ci sarà bisogno anche di una Terapia Canalare o Devitalizzazione, argomento che tratteremo più avanti nel capitolo "endodonzia". Alcuni denti cariati eccessivamente trascurati alle volte non sono recuperabili in nessun modo: non resta che estrarli per evitare dolori ed ascessi ricorrenti e anche il rischio di gravi infezione generalizzate.

Ecco perché è importantissimo spazzolare i denti dopo ogni pasto, affinché i batteri non abbiano modo di danneggiare il dente. Inoltre, visite di controllo regolari dal dentista permettono di individuare precocemente le lesioni cariose in stadi iniziali, così da poter recuperare i denti con terapie facili e veloci e non correre il rischio di dover perdere dei denti per la carie.

Ma la carie è un problema che riguarda solamente i bambini?

Purtroppo, no. Normalmente i bambini sono a maggior rischio di carie poiché effettuano con minore cura le procedure di igiene orale domiciliare, hanno un'alimentazione più sregolata e con maggiore presenza di zuccheri. Questi stessi motivi possono creare una carie anche nell'adulto, che in linea teorica dovrebbe essere più attento all'igiene orale ed all'alimentazione.

L'età adulta presenta altre problematiche: recessioni gengivali e malattia parodontale espongono al rischio di carie anche le persone più anziane.

Inoltre, le nuove generazioni hanno beneficiato di fluoroprofilassi che alle vecchie generazioni sono mancate, rendendole maggiormente suscettibili al rischio di carie.

Come faccio a capire se ho una carie?

Purtroppo, quando la carie è nelle sue fasi iniziali, il paziente non avverte il benché minimo fastidio. Solo frequenti visite di controllo dal Dentista sono in grado di individuare la carie allo stato iniziale, la cui terapia è semplice e veloce.

Quando la carie raggiunge una certa profondità, il paziente comincia ad avvertire fastidio in presenza di alcuni stimoli quali:

  • dolore al caldo e al freddo
  • dolore alla masticazione
  • dolore in presenza di cibi acidi e/o dolci

Se la carie viene trascurata, continua a distruggere il dente fino a giungere alla polpa. La sintomatologia cambia:

  • il dolore diventa spontaneo
  • il dolore è intenso (Pulpite)
  • il dolore riguarda ampie zone del volto.

Siccome la carie dà fastidio solo a livelli avanzati, capita spesso che un dente che dia pochissimo fastidio in realtà abbia bisogno di terapie lunghe e complesse per poter essere riabilitato completamente.

Come si cura un dente cariato?

Innanzitutto, è necessario rimuovere tutto il tessuto cariato.

Per fare ciò, il dentista esegue l'anestesia e, una volta che il dente è addormentato, isola la zona di lavoro con la diga di gomma, affinché ogni operazione avvenga in un campo pulito senza contaminazione batterica. Dopodiché, si procede alla rimozione del tessuto cariato.

L'utilizzo di sistematiche ingrandenti permette all'odontoiatra di essere sicuro di aver rimosso anche il più piccolo frammento di tessuto cariato.

Fatto ciò, si passa a valutare quanto dente sano è rimasto. Se la carie ha distrutto una piccola parte del dente, basterà eseguire un restauro diretto (direttamente in bocca al paziente) per poter ripristinare completamente forma e funzione.

Se invece la carie ha già distrutto una buona parte del dente, quest'ultimo rischia seriamente di fratturarsi durante la masticazione. Per questo motivo sarà necessario eseguire un restauro indiretto (fuori dalla bocca al paziente), che potrà essere parziale (intarsio) o totale (corona).

Spesso, l'Odontoiatra è in grado di valutare prima della rimozione del tessuto cariato se il dente avrà bisogno di un restauro diretto o di uno indiretto. Alle volte però è necessario dapprima procedere alla rimozione del tessuto cariato per poter avere la certezza sulla diagnosi.

Che differenza c’è tra un restauro diretto ed uno indiretto?

I restauri diretti si chiamano così proprio perché vengono eseguiti direttamente dall'odontoiatra alla poltrona. Sono la soluzione migliore per curare tutti quei denti in cui la carie ha distrutto poca sostanza dentale.

I restauri indiretti si chiamano così poiché vengono eseguiti in laboratorio e poi cementati nella cavità orale del paziente dall' Odontoiatra. Affinché vengano realizzati e poi cementati sono necessarie più sedute. Rappresentano la soluzione ideale per ricostruire quei denti in cui la carie ha distrutto molta sostanza dentale.

Come si esegue un restauro diretto o otturazione?

Innanzi tutto, è necessario aver rimosso tutto il tessuto cariato. Dopo aver fatto ciò, l'odontoiatra prepara la superficie dentale ad accogliere il materiale da restauro e vi applica un sottile strato di adesivo biocompatibile.

Un tempo, il materiale d'elezione per l'esecuzione di restauri diretti era l'amalgama d'argento. Oggigiorno disponiamo di materiali più performanti dal punto di vista estetico: le resine composite. Questi materiali hanno la stessa durezza del dente e si integrano perfettamente anche dal punto di vista estetico.

L'Odontoiatra, dopo aver preparato il dente, applica piccoli strati di resina composita fino a ripristinare completamente la forma del dente. Tale materiale viene dapprima applicato e modellato, successivamente viene fatto indurire con una lampada apposita (lampada fotopolimerizzatrice).

Una volta terminata la fase ricostruttiva, viene rimossa la diga ed il dente viene rifinito, lucidato e si controlla che sia perfettamente integrato nella funzione del cavo orale.

Questo trattamento vale anche nei casi di denti che hanno subito delle piccole fratture.

Esempio clinico di restauro diretto od otturazione in composito

Frattura dell’incisivo centrale e laterale risolti per mezzo di due restauri diretti in composito.

Come si esegue un restauro indiretto parziale (intarsio)?

Quando il dente ha perso molta sostanza dentale, ma non così tanta da necessitare di una corona, la soluzione ideale è un restauro indiretto parziale: l'intarsio. L'intarsio è dunque un restauro indiretto parziale fabbricato appositamente in laboratorio che sostituisce una buona parte del dente andata perduta per carie.

Eseguire un intarsio richiede più di una seduta:

  • Nel primo appuntamento l'Odontoiatra rimuove tutto il tessuto cariato ed eventualmente, se necessario procede alla terapia canalare del dente.
  • Nel successivo appuntamento (o sempre nel primo, qualora la terapia canalare non fosse necessaria), l'Odontoiatra procede al build-up del dente. Dopo aver isolato il quadrante con diga, riempie con resina composita le irregolarità del dente lasciate dalla carie e gli conferisce una forma regolare abbattendo le cuspidi a rischio di frattura. Viene presa un'impronta e viene spedita al laboratorio, ove verrà confezionato su misura l'intarsio.
  • Nell'ultimo appuntamento, l'intarsio viene provato e, se tutto va bene, viene cementato.

I moderni materiali per la realizzazione di intarsi sono:

  • le resine composite
  • la ceramica.

Ognuno di essi ha la sua specifica indicazione.

Come si esegue un restauro indiretto totale (corona)?

Quando il dente ha perso quasi tutta la sua sostanza dentale, è necessario ripristinare la sua forma e funzione con un restauro indiretto totale: la corona. La corona è un restauro indiretto totale fabbricato appositamente in laboratorio che sostituisce tutta la parte masticante del dente, che altrimenti si fratturerebbe con estrema facilità.

Per eseguire una corona sono necessari più appuntamenti, a seconda della complessità del caso:

  1. Nel primo appuntamento, l'odontoiatra rimuove tutto il tessuto cariato e confeziona un provvisorio, per permettere al paziente di masticare comodamente.
  2. Nel successivo appuntamento, l'odontoiatra procede all'eventuale terapia canalare (necessaria nella maggior parte dei denti che hanno perso molta sostanza dentale).
  3. Nel successivo appuntamento, l'odontoiatra isola il dente con diga e provvede a ricostruire il nucleo del dente, a volte anche con l'ausilio di un perno. Viene presa un'impronta e la si spedisce in laboratorio affinché la corona venga fabbricata su misura.
  4. Possono essere necessari più appuntamenti di prova della struttura e/o della corona definitiva.
  5. Nell'ultimo appuntamento, la corona definitiva è pronta e viene cementata.

I moderni materiali per la realizzazione di corone totali sono:

  • la metallo-ceramica
  • La ceramica integrale.

Ognuno di essi ha la sua specifica indicazione.

(Vedi anche la sessione “Riabilitazioni protesiche fisse”)

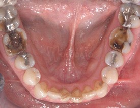
Caso Clinico risolto per mezzo di:

  • 1 restauro diretto (otturazioni in composito) sul 34
  • 9 restauri indiretti parziali (Intarsi in composito) sui 16, 15, 14, 24, 25, 36, 37, 45, 47.
  • 2 restauri indiretti totali (Corone in ceramica) sui 26, 46.

Che cos'è l' Endodonzia ?

Endodonzia è una parola che deriva dal greco antico e significa: "branca medica che si occupa dell'interno dei denti". Volendone dare una definizione più pratica, si può affermare che l'Endodonzia sia quella branca dell'Odontoiatria che consente di mantenere in bocca dei denti che altrimenti sarebbero condannati all'estrazione.

All'interno del dente, sotto i tessuti duri meglio noti come smalto e dentina, vi è una cavità all’interno della quale vi è un tessuto molle chiamato polpa. La polpa contiene vasi sanguigni, nervi e tessuto connettivo e crea i tessuti circostanti duri del dente durante lo sviluppo.

La polpa si estende dalla corona del dente fino alla punta delle radici.

La polpa è fondamentale per lo sviluppo e per la maturazione di ogni dente. Tuttavia, una volta giunto a completa maturazione, un dente può sopravvivere senza la polpa perché continua ad essere alimentato dai tessuti che lo circondano.

Immagine schematica dell’anatomia di un dente

Quando si ha necessità di una terapia endodontica?

Il trattamento endodontico (altrimenti noto come devitalizzazione) è necessario quando la polpa dentaria (i tessuti molli all'interno del dente) si infiamma irreversibilmente o si infetta.

L'infiammazione o l'infezione della polpa può verificarsi per svariati motivi: carie profonde, ripetute procedure odontoiatriche o anche per via di una crepa o di una frattura del dente. Alle volte, un forte trauma può causare danni irreversibili alla polpa, anche se il dente non ha alcun segno apparente.

Se l'infiammazione e/o l'infezione pulpare non viene adeguatamente curata, può portare nel tempo dolore, talvolta acuto, e ricorrenti ascessi.

Quali sono i sintomi di una polpa infiammata o infetta?

I sintomi più comuni sono:

  • dolore spontaneo
  • ipersensibilità prolungata al caldo e/o al freddo
  • fastidio e/o dolore durante la masticazione
  • discolorazione del dente
  • (in caso di infezione acuta) il gonfiore e la fuoriuscita di pus

A volte, tuttavia, non ci sono sintomi così evidenti o non ce ne sono affatto. Ciò non significa che il trattamento canalare non sia necessario.

In che modo la terapia endodontica salva il dente?

L'Odontoiatra, grazie all'ausilio di sistematiche ingrandenti quali occhialini e microscopio, rimuove la polpa infiammata o infetta da ogni singolo canale dentario, disinfetta l'interno del dente e poi sigilla tale spazio in modo che i batteri non possano più entrarvi.

Successivamente, procederà a restaurare adeguatamente la parte masticante del dente, in modo che non corra rischi di fratturarsi.

Dopo il restauro, il dente riprenderà a funzionare come un qualsiasi altro dente

Avrò dolore durante o dopo la terapia?

La maggior parte delle terapie endodontiche viene eseguita proprio per alleviare l'intenso dolore avvertito dal paziente che abbia una polpa infiammata. Grazie agli anestetici ed alle moderne tecnologie, la maggior parte dei pazienti non avverte il benché minimo dolore durante la terapia.

Durante i primi giorni successivi alla terapia è normale avvertire qualche dolore. Tale fastidio, qualora fosse di notevole entità, può essere facilmente tenuto sotto controllo con i più comuni analgesici.

In ogni caso, basterà attenersi scrupolosamente alle indicazioni del dentista per avere un decorso post-opratorio tranquillo.

Breve descrizione della Terapia Endodontica

Il trattamento endodontico, a seconda della sua complessità, può richiedere uno o più appuntamenti per essere completato. In ogni caso, per ottenere una completa guarigione del dente è necessario che l'odontoiatra esegua i seguenti passaggi:

  • L'Odontoiatra esamina il dente ed esegue una radiografia pre-operatoria. Viene effettuata un'anestesia locale. Quando il dente è pronto per essere trattato, l'odontoiatra pone un piccolo foglio protettivo chiamato "diga" attorno al dente per mantenere asettico il campo operatorio e per evitare di far ingerire al paziente i liquidi antisettici e/o gli strumentini necessari alla terapia.
  • L'Odontoiatra pratica una piccola apertura nella corona del dente per raggiungere il suo interno. Grazie a strumenti molto piccoli e molto precisi, la polpa infetta viene eliminata e lo spazio ove era contenuta viene disinfettato a fondo. Il perfetto controllo di ogni operazione è assicurato dalle sistematiche ingrandenti quali occhialini e microscopio. Possono essere necessarie una o più radiografie intraoperatorie per verificare di aver ripulito tutto lo spazio all'interno del dente.

Strumenti manuali per endodonzia

Strumento non manuale per l’endodonzia

  • Dopo aver disinfettato a fondo tutto lo spazio in cui era contenuta la polpa, l'Odontoiatra sigilla tale spazio con materiali biocompatibili (guttaperca). La zona masticante del dente viene restaurata temporaneamente con un apposito materiale oppure si procede direttamente con il restauro definitivo. A fine trattamento, si esegue una radiografia che confermi l'avvenuto sigillo dello spazio interno del dente. Molto spesso, per evitare il rischio di frattura del dente, è necessario riabilitare la parte masticante del dente con un restauro protesico totale (corona) o parziale (intarsio).

Fasi schematiche di un trattamento endodontico

Dopo la terapia endodontica sono necessarie delle particolari attenzioni?

E' importante ricordarsi di non masticare cibi particolarmente duri su di un dente che abbia subito una terapia endodontica fino a quando non sia stato completamente riabilitato con un restauro definitivo. Fino a quel momento, un dente che abbia subito una terapia endodontica è ad alto rischio di frattura, per cui è buona norma fare attenzione fino al suo completo ripristino. Una volta ripristinato anche nella parte masticante, è sufficiente praticare una buona igiene orale con controlli regolari per assicurarsi una buona funzione del dente.

La maggior parte dei denti trattati endodonticamente dura quanto un dente naturale. In alcuni casi, purtroppo, l'infezione presente sul dente può permanere. Alle volte, un dente che abbia subito una terapia endodontica può mostrare nuovi segni d'infezione mesi o anni dopo un trattamento eseguito con successo. Spesso, qualora ciò dovesse verificarsi, effettuare una nuova terapia endodontica può salvare il dente e permettergli di funzionare per molti anni ancora.

Quali sono le cause che possono indurre un dente che abbia già subito una terapia endodontica ad aver bisogno di un nuovo trattamento?

Spesso, le cause che possono rendere necessaria un'ulteriore terapia endodontica sono legate a reinfezioni delle zone interne del dente che col primo trattamento erano state sigillate. Le cause più comuni di reinfezione sono:

  • Fratture
  • Nuovi processi cariosi
  • Restauri che non sigillano più

In tutti questi casi, una nuova terapia endodontica può permettere al dente di essere recuperato appieno e di durare molti anni

La terapia endodontica si può eseguire con successo su qualunque dente?

Per fortuna, la maggior parte dei denti può essere trattata con successo con una terapia endodontica e continuare a funzionare per anni. Può capitare, comunque, che un dente non possa beneficiare di una terapia endodontica per uno o più dei seguenti motivi:

  • il dente è gravemente fratturato
  • il dente non ha un adeguato supporto osseo
  • la corona del dente non può essere ricostruita in modo predicibile
  • non è possibile accedere alle parti più profonde della radice

Tuttavia, i progressi in endodonzia stanno rendendo possibile il recupero di denti che fino a pochi anni fa sarebbero stati estratti.

Le nostre attività cliniche

inizio pagina