Ti trovi in: Specializzazioni > Chirurgia Orale > Chirurgia Preprotesica
Chirurgia Preprotesica
Le riabilitazioni protesiche, spesso necessitano di un preliminare ricorso a terapie chirurgico parodontali particolari.
Le ragioni di questo, stanno nella necessità di risolvere possibili lesioni parodontali presenti o passate, oppure per l’importante raggiungimento di essenziali aspetti funzionali e/o estetici della terapia protesica.
In questo paragrafo verranno trattate e spiegate quelle procedure chirurgicheil cui scopo è migliorare la terapia protesica in atto.
Essenzialmente queste procedure sono:
- La chirurgia per allungamento della corona clinica (Ossia allungare la parte visibile del dente);
- La chirurgia dei tessuti molli e gestione delle selle edentule (Migliorare il volume e l’estetica delle zone prive di denti);
- La chirurgia del sorriso ovvero, la chirurgia delle zone a valenza estetica. (Essenzialmente in quei pazienti che presentano un sorriso ch mette in evidenza troppa quota di gengiva “sorriso gengivale”).
Allungamento di corona clinica
L’obiettivo di questa tecnica è l'allungamento della parte esposta dell’elemento dentale e
può essere effettuato attraverso diverse tecniche chirurgiche, di cui le principali sono:
- Gengivectomia
- Lembo spostato apicalmente
- Osteoresettiva e lembo spostato apicalmente
Gengivectomia
Caso Clinco
Situazione iniziale
Risultato finale
Lembo spostato apicalmente
Caso Clinco
Situazione iniziale
Risultato finale
Osteoresettiva e lembo spostato apicalmente
Caso Clinco
Sorriso iniziale della paziente
Immagine intraorale iniziale
Incisione del lembo
Scollamento del lembo
Parabole ossee livellata dopo osteoresettiva
Sutura del lembo
Guarigione
Immagine intraorale finale
Sorriso finale della paziente
La chirurgia dei tessuti molli
La chirurgia che interessa unicamente i tessuti molli del cavo orale (gengiva) e in particolare quelli parodontali, senza interessare le superfici ossee, viene comunemente definita: CHIRURGIA DEI TESSUTI MOLLI.
Le indicazioni chirurgiche più importanti per migliorare il piano di trattamento protesico, sono principalmente le seguenti:
- Le procedure di resezione gengivale, vedi gengivectomia;
- Le tecniche a lembo e gli innesti gengivali;
- Gli interventi ai frenuli;
- Tecniche chirurgiche per il riempimento e la correzione di difetti crestali.
A parte la gengivectomia, argomento già trattato in alto, verranno qui trattate le procedure più importanti di interesse preprotesico, ossia:
- Gli innesti gengivali
- Intervento ai frenuli (Frenulectomia)
- Le tecniche di correzione dei difetti crestali
Innesto gengivale e frenulectomia
Situazione iniziale: ampio e robusto frenulo
Innesto gengivale
Risultato finale
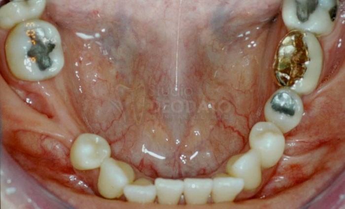
Tecniche chirurgiche per il riempimento e le correzioni di difetti crestali
Situazione iniziale
Risultato finale
Chirurgia del sorriso ad alta valenza estetica
Quando in un paziente nel sorridere scopre troppa gengiva, le corone dentali rischiano di sembrare corte.
Occorre pertanto valutare se questa impressione di corona corta sia dovuta ad un effetto ottico, conseguenza dell’alterato rapporto fra “il rosa (gengiva) e il bianco (dente)”, oppure se la corona è realmente corta.
Correzione del sorriso gengivale(Gummy Smile)
Caso Clinico
Immagine iniziale del sorriso
Immagine intraorale del sorriso
Previsualizzazione
Intervento terminato
Previsualizzazione della futura protesi
Immagine intraorale finale
Immagine finale del sorriso con quantità inferiore di gengiva visibile ed con aspetto più armonioso