Ti trovi in: Specializzazioni > Implantologia computer assistita > Casi clinici
Caso clinico 8
Paziente di anni 62 portatore di protesi mista combinata superiore incongrua e protesi mobile scheletrata inferiore e riabilitato con un provvisorio fisso a carico immediato e finalizzato con protesi fissa cementata in zirconio ceramica e monconi personalizzati in zirconia su inpianti, protocollo Computer Assistita.
Immagine sorriso iniziale del paziente
Immagine iniziale intraorale del paziente
Immagine iniziale intraorale superiore
Immagine iniziale intraorale inferiore
Rx-OPT iniziale del paziente
Le delle due dime radiologiche sul modello
Le due dime radiologiche indossate dal paziente
Pianificazione al computer del mascellare sup.
Pianificazione al computer del mascellare inf.
Dima chirurgica superiore
Dima chirurgica inferiore
Dima chirurgica sup. posizionata in cavità orale
Dima chirurgica inf. posizionata in cavità orale
Provvisorio sup .ed inf. fisso in resina
Provvisorio fisso in resina consegnato al paz.
Protesi definitiva sup.ed inf. in metallo ceramica
Protesi definitiva fissa consegnata al paziente
Immagine della protesi fissa definitiva in metallo ceramica in cavità orale parte superiore
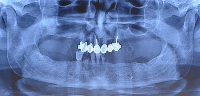
Rx-OPT di controllo finale
Sorriso finale del paziente