Paziente di anni 75 parzialmente edentulo superiore ed inferiore riabilitato con due protesi estetiche fisse superiore ed inferiore avvitate in resina a carico immediato e finalizzato con due protesi estetiche fisse cementate in Zirconia-Ceramica (Procera-CAD-CAM).
Video - Caso clinico n°5
Caso clinico iniziale (visione frontale)
Rx-OPT inziale
Caso clinico iniziale (visione occlusale)
Dima chirurgica superiore
Dima chirurgica inferiore
Dime chirurgiche sup.ed Inf. posizionate in cavità orale per TC Cone Beam
Immagine 3D della pianificazione Implanto-protesica computer assistita
Dima chirurgica superiore
Immagine 3D della pianificazione Implanto-protesica computer assistita
Dima chirurgica inferiore
Posizionamento implantare effettuato per mezzo della dima chirurgica superiore
Situazione clinica dopo il posizionamento implantare superiore (tecnica flap-less)
Posizionamento implantare effettuato per mezzo della dima chirurgica inferiore
Situazione clinica dopo il posizionamento implantare inferiore (tecnica Flapless).
Provvisorio avvitato superiore ed inferiore in resina
Provvisorio superiore ed inferiore in resina avvitato in cavità orale (carico immediato).
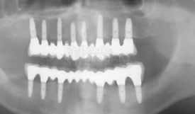
Rx-OPT di controllo subito dopo il posizionamento implantare e protesico.
Protesi fissa definitiva cementata in zirconia-ceramica.
Protesi fissa definitiva cementata in zirconia-ceramica posizionata in cavtà orale.