Paziente di anni 64 portatore di protesi totale mobile superiore, riabilitato trasformando la protesi mobile del paziente in protesi provvisoria fissa avvitata superiore a carico immediato e finalizzato con protesi avvitata in resina filosofia Malo (All-on.six).
Video - Caso clinico n°2
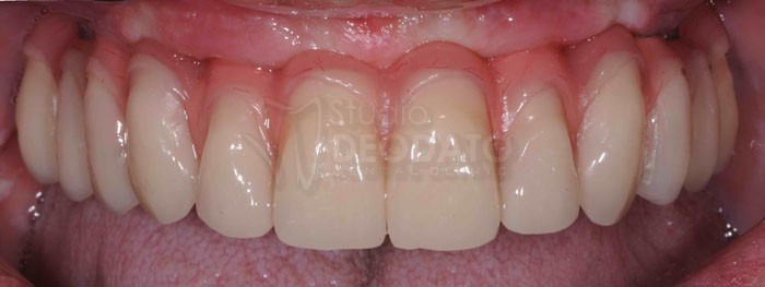
Situazione clinica iniziale
Protesi mobile totale (dentiera) del paziente utilizzata anche come dima radiologica
Immagine 3D della pinificazione implanto-protesica computer assistita
Immagine 3D della pianificazione implanto-protesica computer assistita
Dima chirurgica per Tecnica "All-on-six"
Posizionamento implantare per mezzo della dima Chirurgica (filmato intervento)
Situazione clinica subito dopo il posizionamento implantare (tecnica Transmucosa)
Protesi mobile del paziente trasformata in protesi fissa provvisoria avvitata
Protesi Fissa provvisoria avvitata nel cavo orale del paziente subito dopo il posizionamento Implantare (Carico Immediato)
Rx-OPT di controllo post-trattamento
Protesi fissa avvitata definitiva. (tre mesi dopo il trattamento)